治療の詳細を見る
閉じる
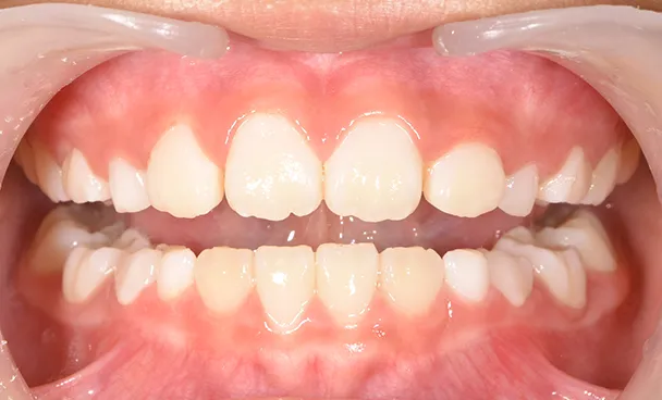
パールブレースKid's®
BEFORE
AFTER
性別
女の子
年齢
7歳
不正咬合の種類
叢生
施術名
パールブレースKid's
施術内容
親御さんが、患者様の永久歯が斜めに生えてきて心配したから矯正治療をスタートいたしました。
筋機能装置とアクティビティで矯正治療を進めました。上顎も拡大されて、気になられていた斜めに放出していた前歯もきれいに並びました。
筋機能装置とアクティビティで矯正治療を進めました。上顎も拡大されて、気になられていた斜めに放出していた前歯もきれいに並びました。
治療期間
2年6ヶ月
治療費用
528,000円(税込)
リスク
顎の成長に合わせて歯並びを改善するため、一時的に歯並びが悪い状態になることもあります。マウスピース装置により疼痛・咬合時痛を生じる事があります。割れたり壊れたりする事があります。また、本人自身がMFTを行わないと、効果が見込めないことがあります。
治療の詳細を見る
閉じる
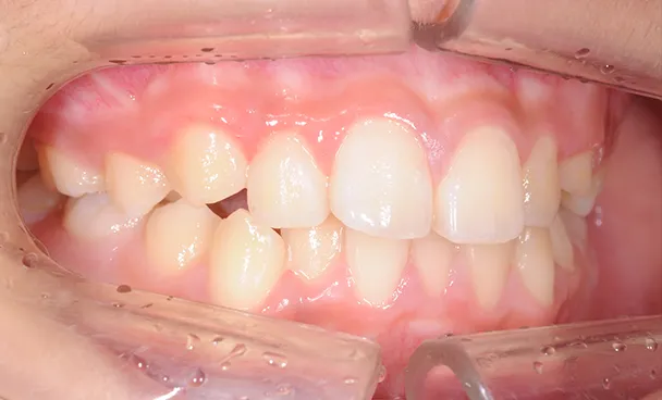
パールブレースKid's®
BEFORE
AFTER
性別
女の子
年齢
6歳
不正咬合の種類
叢生・過蓋咬合
施術名
パールブレースKid's(バイオブロックオプション有)
施術内容
上顎をバイオブロックで拡大させ、マイオブレースを使用して口腔機能のトレーニングを行い口呼吸から鼻呼吸へ治療すると共に叢生と過蓋咬合が治りました。
治療期間
1年5ヶ月
治療費用
561,000円(税込)
リスク
顎の成長に合わせて歯並びを改善するため、一時的に歯並びが悪い状態になることもあります。マウスピース装置により疼痛・咬合時痛を生じる事があります。割れたり壊れたりする事があります。また、本人自身がMFTを行わないと、効果が見込めないことがあります。
治療の詳細を見る
閉じる
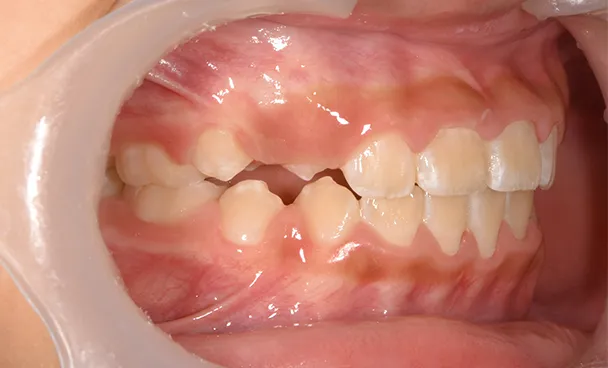
パールブレースKid's®
BEFORE
AFTER
性別
女の子
年齢
7歳
不正咬合の種類
叢生
施術名
パールブレースKid's(バイオブロックオプション有)
施術内容
上顎をバイオブロックで拡大させ、マイオブレースを使用して口腔機能のトレーニングを行い口呼吸から鼻呼吸へ治療すると共に叢生が治りました。
治療期間
1年5ヶ月
治療費用
561,000円(税込)
リスク
顎の成長に合わせて歯並びを改善するため、一時的に歯並びが悪い状態になることもあります。マウスピース装置により疼痛・咬合時痛を生じる事があります。割れたり壊れたりする事があります。また、本人自身がMFTを行わないと、効果が見込めないことがあります。
治療の詳細を見る
閉じる
パールブレースKid's®
BEFORE
AFTER
性別
男の子
年齢
7歳
不正咬合の種類
叢生
施術名
パールブレースKid's(バイオブロックオプション有)
施術内容
上顎をバイオブロックで拡大させ、マイオブレースを使用して口腔機能のトレーニングを行い口呼吸から鼻呼吸へ治療すると共に叢生が治りました。バイオブロックは最初3日だけ違和感があった様ですが、次第に慣れてきて、おしゃべりも食事も普通に送れておりました。
治療期間
1年5ヶ月
治療費用
561,000円(税込)
リスク
顎の成長に合わせて歯並びを改善するため、一時的に歯並びが悪い状態になることもあります。マウスピース装置により疼痛・咬合時痛を生じる事があります。割れたり壊れたりする事があります。また、本人自身がMFTを行わないと、効果が見込めないことがあります。
治療の詳細を見る
閉じる
パールブレースKid's®
BEFORE
AFTER
性別
男の子
年齢
9歳
不正咬合の種類
叢生・反対咬合
施術名
パールブレースKid's(バイオブロックオプション有)
施術内容
虫歯予防で来院されていましたが、歯並びに不正があったためパールブレースのお声がけをさせていただきました。反対咬合の改善の為にバイオブロックで上顎を前方側方拡大させ、アクティビティーで、歯列の改善を行なっています。
治療期間
1年1ヶ月
治療費用
561,000円(税込)
リスク
顎の成長に合わせて歯並びを改善するため、一時的に歯並びが悪い状態になることもあります。マウスピース装置により疼痛・咬合時痛を生じる事があります。割れたり壊れたりする事があります。また、本人自身がMFTを行わないと、効果が見込めないことがあります。
治療の詳細を見る
閉じる
パールブレースKid's®
BEFORE
AFTER
性別
男の子
年齢
8歳
不正咬合の種類
叢生
施術名
パールブレースKid's(バイオブロックオプション有)
施術内容
お父様が、こちらの患者様の大人の歯が生え始めた頃から、歯並びが気になり始めて矯正治療を開始いたしました。口呼吸があり常に口が開いていたため、マイオブレースで口呼吸の改善を行いました。マイオブレースが使用できていることを確認後、バイオブロックで上顎の拡大を行ない、歯並びの改善を行なっています。
治療期間
1年6ヶ月
治療費用
561,000円(税込)
リスク
顎の成長に合わせて歯並びを改善するため、一時的に歯並びが悪い状態になることもあります。マウスピース装置により疼痛・咬合時痛を生じる事があります。割れたり壊れたりする事があります。また、本人自身がMFTを行わないと、効果が見込めないことがあります。
治療の詳細を見る
閉じる
パールブレースKid's®
BEFORE
AFTER
性別
男の子
年齢
7歳
不正咬合の種類
上顎前突・捻転・上下叢生
施術名
パールブレースKid's(バイオブロックオプション有)
施術内容
患者様のご両親が、乳歯の頃は隙間なく並んでいたが、永久歯はえ出した頃から歯並びが気になり始めたとのことで治療を開始いたしました。バイオブロックにて顎の拡大、筋機能装置とアクティビティによる口腔習癖改善。顎の拡大終了後、インビザラインファースト治療へ移行致しました。装置治療と並行してアクティビティは継続しており、習癖と歯並びの更なる改善にアプローチしております。
治療期間
7ヶ月
治療費用
561,000円(税込)
リスク
顎の成長に合わせて歯並びを改善するため、一時的に歯並びが悪い状態になることもあります。マウスピース装置により疼痛・咬合時痛を生じる事があります。割れたり壊れたりする事があります。また、本人自身がMFTを行わないと、効果が見込めないことがあります。
治療の詳細を見る
閉じる
パールブレースKid's®
BEFORE
AFTER
性別
女の子
年齢
8歳
不正咬合の種類
上顎前突・正中離開
施術名
パールブレースKid's
施術内容
患者様のお母様が、前歯の隙間と、歯が前に出ているのが気になるとのことで治療を開始いたしました。
口腔習癖(口唇閉鎖不全、下唇巻き込み)が強い為、筋機能装置とアクティビティを組み合わせ、歯列と口腔習癖の改善を行いました。
口腔習癖(口唇閉鎖不全、下唇巻き込み)が強い為、筋機能装置とアクティビティを組み合わせ、歯列と口腔習癖の改善を行いました。
治療期間
2年1ヶ月
治療費用
528,000円(税込)
リスク
顎の成長に合わせて歯並びを改善するため、一時的に歯並びが悪い状態になることもあります。マウスピース装置により疼痛・咬合時痛を生じる事があります。割れたり壊れたりする事があります。また、本人自身がMFTを行わないと、効果が見込めないことがあります。
治療の詳細を見る
閉じる
パールブレースKid's®
BEFORE
AFTER
性別
女の子
年齢
8歳
不正咬合の種類
叢生
施術名
パールブレースKid's
施術内容
お父様ご自身の歯並びが悪く気にしており、自分の子供には矯正させてあげたいとずっと思ってたとのことでパールブレースKid'sを開始。BB1と筋機能装置とトレーニングを組み合わせて、前歯の改善を先に着手。その後全体の叢生を改善しました。
治療期間
6ヶ月
治療費用
528,000円(税込)
リスク
顎の成長に合わせて歯並びを改善するため、一時的に歯並びが悪い状態になることもあります。マウスピース装置により疼痛・咬合時痛を生じる事があります。割れたり壊れたりする事があります。また、本人自身がMFTを行わないと、効果が見込めないことがあります。
治療の詳細を見る
閉じる
パールブレースKid's®
BEFORE
AFTER
性別
女の子
年齢
9歳
不正咬合の種類
上顎劣成長・クロスバイト
施術名
パールブレースKid's(バイオブロックオプション有)
施術内容
反対咬合になっているのと下の歯が横にずれてるのが気になり矯正治療を開始。バイオブロックにより上顎を拡大してから筋機能装置でクセと歯列を改善しました。
治療期間
2年
治療費用
561,000円(税込)
リスク
顎の成長に合わせて歯並びを改善するため、一時的に歯並びが悪い状態になることもあります。マウスピース装置により疼痛・咬合時痛を生じる事があります。割れたり壊れたりする事があります。また、本人自身がMFTを行わないと、効果が見込めないことがあります。
治療の詳細を見る
閉じる
パールブレースKid's®
BEFORE
AFTER
性別
女の子
年齢
10歳
不正咬合の種類
中顔面の前方劣成長
施術名
パールブレースKid's
施術内容
全体的な噛み合わせが気になっていたとのことで矯正治療を開始。BB1とフェイスマスクにより上顎の前方成長をさせ、筋機能装置でクセと歯列の改善、仕上げにインビザラインファーストで歯列をさらに整える予定です。
治療期間
7ヶ月
治療費用
838,000円(税込)
リスク
顎の成長に合わせて歯並びを改善するため、一時的に歯並びが悪い状態になることもあります。マウスピース装置により疼痛・咬合時痛を生じる事があります。割れたり壊れたりする事があります。また、本人自身がMFTを行わないと、効果が見込めないことがあります。
治療の詳細を見る
閉じる
パールブレースKid's®
BEFORE
AFTER
性別
女の子
年齢
10歳
不正咬合の種類
叢生
施術名
パールブレースKid's
施術内容
保護者がお子様の歯並びがずっと気になっており、治してあげたいと常々思っていらっしゃったそうです。知り合いに歯医者がいらっしゃり、そろそろ矯正始めてもいい時期かもと言われたので当院にて矯正治療を始められました。BB1と筋機能装置とトレーニングを組み合わせて、またインビザラインファーストにより歯列全体の改善を行いました。
治療期間
1年4ヶ月
治療費用
838,000円(税込)
リスク
顎の成長に合わせて歯並びを改善するため、一時的に歯並びが悪い状態になることもあります。マウスピース装置により疼痛・咬合時痛を生じる事があります。割れたり壊れたりする事があります。また、本人自身がMFTを行わないと、効果が見込めないことがあります。
治療の詳細を見る
閉じる
パールブレースKid's®
BEFORE
AFTER
性別
女の子
年齢
6歳
不正咬合の種類
叢生・正中離開
施術名
パールブレースKid's
施術内容
永久歯への生え変わりのタイミングで、お母様が歯並びのガタつき、離れているのが気になったとのことです。マイオブレースとアクティビティを併用し、3ヶ月目の段階で上顎のスペースがある程度閉じ、下顎前歯叢生も改善いたしました。
治療期間
1年3ヶ月
治療費用
528,000円(税込)
リスク
顎の成長に合わせて歯並びを改善するため、一時的に歯並びが悪い状態になることもあります。マウスピース装置により疼痛・咬合時痛を生じる事があります。割れたり壊れたりする事があります。また、本人自身がMFTを行わないと、効果が見込めないことがあります。
治療の詳細を見る
閉じる
パールブレースKid's®
BEFORE
AFTER
性別
女の子
年齢
6歳
不正咬合の種類
叢生
施術名
パールブレースKid's(バイオブロックオプション有)
施術内容
歯のがたつき、歯茎が見えること、滑舌が気になり、パールブレースキッズをスタートさせました。
前歯部叢生と上顎1-1捻転+正中離開がある患者様です。マイオブレースと上顎バイオブロックを使用し、アクティビティを行い歯並びと口腔習癖を改善させました。
前歯部叢生と上顎1-1捻転+正中離開がある患者様です。マイオブレースと上顎バイオブロックを使用し、アクティビティを行い歯並びと口腔習癖を改善させました。
治療期間
1年2ヶ月
治療費用
561,000円(税込)
リスク
顎の成長に合わせて歯並びを改善するため、一時的に歯並びが悪い状態になることもあります。マウスピース装置により疼痛・咬合時痛を生じる事があります。割れたり壊れたりする事があります。また、本人自身がMFTを行わないと、効果が見込めないことがあります。
治療の詳細を見る
閉じる
パールブレースKid's®
BEFORE
AFTER
性別
男の子
年齢
11歳
不正咬合の種類
上顎前突
施術名
パールブレースKid's(バイオブロックオプション有)
施術内容
上の前歯が出ており、患者様本人が気にされていたため治療開始。筋機能装置とバイオブロックを装着し、アクティビティを行い、上顎前突と口腔機能発達不全の改善を行いました。
治療期間
1年4ヶ月
治療費用
561,000円(税込)
リスク
顎の成長に合わせて歯並びを改善するため、一時的に歯並びが悪い状態になることもあります。マウスピース装置により疼痛・咬合時痛を生じる事があります。割れたり壊れたりする事があります。また、本人自身がMFTを行わないと、効果が見込めないことがあります。
治療の詳細を見る
閉じる
パールブレースKid's®
BEFORE
AFTER
性別
女の子
年齢
7歳
不正咬合の種類
叢生・上顎前突
施術名
パールブレースKid's(バイオブロックオプション有)
施術内容
患者様ご自身が下の歯のガタつきが気になり、治療を開始いたしました。筋機能装置で鼻呼吸の確立を行い、アクティビティで筋機能の改善、バイオブロックにて上顎の拡大を行ない、上顎前突と叢生が改善しました。
治療期間
2年3ヶ月
治療費用
561,000円(税込)
リスク
顎の成長に合わせて歯並びを改善するため、一時的に歯並びが悪い状態になることもあります。マウスピース装置により疼痛・咬合時痛を生じる事があります。割れたり壊れたりする事があります。また、本人自身がMFTを行わないと、効果が見込めないことがあります。
治療の詳細を見る
閉じる
パールブレースKid's®
BEFORE
AFTER
性別
女の子
年齢
9歳
不正咬合の種類
叢生・上顎前突
施術名
パールブレースKid's
施術内容
お母様が患者様の永久歯の生え変わりが気になり始め矯正治療を開始しました。
口腔習癖が強い為、リップトレーナー・アクティビティを早急に開始しました。永久歯交換期真っ只中の為、同時進行でインビザラインファーストと筋機能装置を組み合わせて、叢生と上顎前突の改善に繋がっています。
口腔習癖が強い為、リップトレーナー・アクティビティを早急に開始しました。永久歯交換期真っ只中の為、同時進行でインビザラインファーストと筋機能装置を組み合わせて、叢生と上顎前突の改善に繋がっています。
治療期間
11ヶ月
治療費用
528,000円(税込)
リスク
顎の成長に合わせて歯並びを改善するため、一時的に歯並びが悪い状態になることもあります。マウスピース装置により疼痛・咬合時痛を生じる事があります。割れたり壊れたりする事があります。また、本人自身がMFTを行わないと、効果が見込めないことがあります。
治療の詳細を見る
閉じる
パールブレースKid's®
BEFORE
AFTER
性別
女の子
年齢
8歳
不正咬合の種類
上顎前突・上下叢生
施術名
パールブレースKid's
施術内容
学校検診で歯並びの不正を指摘され、御来院され矯正治療を開始しました。
インビザラインファーストと筋機能装置を組み合わせて、叢生と上顎前突の改善に繋がっています。
インビザラインファーストと筋機能装置を組み合わせて、叢生と上顎前突の改善に繋がっています。
治療期間
2年3ヶ月
治療費用
528,000円(税込)
リスク
顎の成長に合わせて歯並びを改善するため、一時的に歯並びが悪い状態になることもあります。マウスピース装置により疼痛・咬合時痛を生じる事があります。割れたり壊れたりする事があります。また、本人自身がMFTを行わないと、効果が見込めないことがあります。
治療の詳細を見る
閉じる
パールブレースKid's®
BEFORE
AFTER
性別
女の子
年齢
7歳
不正咬合の種類
上下叢生
施術名
パールブレースKid's
施術内容
学校検診で歯並びの不正を指摘され、御来院され矯正治療を開始しました。
インビザラインファーストと筋機能装置を組み合わせて、叢生の改善に繋がっています。
インビザラインファーストと筋機能装置を組み合わせて、叢生の改善に繋がっています。
治療期間
3年10ヶ月
治療費用
528,000円(税込)
リスク
顎の成長に合わせて歯並びを改善するため、一時的に歯並びが悪い状態になることもあります。マウスピース装置により疼痛・咬合時痛を生じる事があります。割れたり壊れたりする事があります。また、本人自身がMFTを行わないと、効果が見込めないことがあります。
治療の詳細を見る
閉じる
パールブレースKid's®
BEFORE
AFTER
性別
男の子
年齢
9歳
不正咬合の種類
反対咬合
施術名
パールブレースKid's
施術内容
学校検診で歯並びの不正を指摘され、御来院され矯正治療を開始しました。
インビザラインファーストで歯列を改善し、マイオブレースアクティビティで口腔習癖を直している途中です。1年経っておりませんがかなり改善してきております。
インビザラインファーストで歯列を改善し、マイオブレースアクティビティで口腔習癖を直している途中です。1年経っておりませんがかなり改善してきております。
治療期間
10ヶ月
治療費用
528,000円(税込)
リスク
顎の成長に合わせて歯並びを改善するため、一時的に歯並びが悪い状態になることもあります。マウスピース装置により疼痛・咬合時痛を生じる事があります。割れたり壊れたりする事があります。また、本人自身がMFTを行わないと、効果が見込めないことがあります。
治療の詳細を見る
閉じる
パールブレースKid's®
BEFORE
AFTER
性別
女の子
年齢
7歳
不正咬合の種類
上顎前突・過蓋咬合
施術名
パールブレースKid's(バイオブロックオプション有)
施術内容
前歯が出ていて、下の歯が奥に入っているのを治したいとのことで矯正治療を開始いたしました。バイオブロックを使用して口蓋を広くし、舌挙上後マイオブレースと筋機能トレーニングを並行し、口腔習癖と上顎前突を改善致しました。
治療期間
1年5ヶ月
治療費用
561,000円(税込)
リスク
顎の成長に合わせて歯並びを改善するため、一時的に歯並びが悪い状態になることもあります。マウスピース装置により疼痛・咬合時痛を生じる事があります。割れたり壊れたりする事があります。また、本人自身がMFTを行わないと、効果が見込めないことがあります。
治療の詳細を見る
閉じる
パールブレースKid's®
BEFORE
AFTER
性別
男の子
年齢
8歳
不正咬合の種類
開咬
施術名
パールブレースKid's
施術内容
口をいつも開けている、舌がでていることがある、いびきをかくと親御さんからご相談を受け、治療を開始。マイオブレースの噛みこみをしっかり行い、舌突出癖をなくすため舌トレーニング強化し、口呼吸と舌のクセ、開咬の歯並びを改善しました。
治療期間
3年
治療費用
528,000円(税込)
リスク
顎の成長に合わせて歯並びを改善するため、一時的に歯並びが悪い状態になることもあります。マウスピース装置により疼痛・咬合時痛を生じる事があります。割れたり壊れたりする事があります。また、本人自身がMFTを行わないと、効果が見込めないことがあります。
治療の詳細を見る
閉じる
パールブレースKid's®
BEFORE
AFTER
性別
女の子
年齢
8歳
不正咬合の種類
叢生
施術名
パールブレースKid's(バイオブロックオプション有)
施術内容
歯のガタつきが気になり、かかりつけの歯医者で永久歯揃ってからと言われたけど、早い時期の方が良いと聞いたことがあったため、当院で相談の上、矯正治療を開始いたしました。
筋機能装置と上顎バイオブロック、アクティビティを行い歯並びと口腔習癖を改善致しました。
筋機能装置と上顎バイオブロック、アクティビティを行い歯並びと口腔習癖を改善致しました。
治療期間
1年6ヶ月
治療費用
561,000円(税込)
リスク
顎の成長に合わせて歯並びを改善するため、一時的に歯並びが悪い状態になることもあります。マウスピース装置により疼痛・咬合時痛を生じる事があります。割れたり壊れたりする事があります。また、本人自身がMFTを行わないと、効果が見込めないことがあります。
治療の詳細を見る
閉じる
パールブレースKid's®
BEFORE
AFTER
性別
女の子
年齢
8歳
不正咬合の種類
反対咬合
施術名
パールブレースKid's(バイオブロックオプション有)
施術内容
永久歯への生え変わりのタイミングで、上下の歯が反対になりそうだったため矯正治療を開始いたしました。
まずバイオブロックを用いて上顎を側方、前方拡大しました。歯列のアーチもかなり小さかったため矯正装置を使い拡大しつつ、筋機能装置とアクティビティで、鼻呼吸や正しい舌位、嚥下の獲得が出来ました。
まずバイオブロックを用いて上顎を側方、前方拡大しました。歯列のアーチもかなり小さかったため矯正装置を使い拡大しつつ、筋機能装置とアクティビティで、鼻呼吸や正しい舌位、嚥下の獲得が出来ました。
治療期間
2年6ヶ月
治療費用
561,000円(税込)
リスク
顎の成長に合わせて歯並びを改善するため、一時的に歯並びが悪い状態になることもあります。マウスピース装置により疼痛・咬合時痛を生じる事があります。割れたり壊れたりする事があります。また、本人自身がMFTを行わないと、効果が見込めないことがあります。
治療の詳細を見る
閉じる
パールブレースKid's®
BEFORE
AFTER
性別
女の子
年齢
10歳
不正咬合の種類
開咬
施術名
パールブレースKid's(バイオブロックオプション有)
施術内容
前歯がかんでおらず、お肉が噛みきれず問題があるなと保護者が感じ、矯正治療を開始。BB1と筋機能装置とトレーニング+インビザラインファーストによりかみ合わせ全体の改善を行いました。
治療期間
1年2ヶ月
治療費用
561,000円(税込)
リスク
顎の成長に合わせて歯並びを改善するため、一時的に歯並びが悪い状態になることもあります。マウスピース装置により疼痛・咬合時痛を生じる事があります。割れたり壊れたりする事があります。また、本人自身がMFTを行わないと、効果が見込めないことがあります。
